
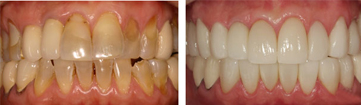
小琳因常喝咖啡而导致了一口色素牙,一般影响个人形象,为此十分烦恼。在生活中,小琳很少笑,主要是担心别人看到自己那口难看的牙齿,所以人人都觉得小琳很冷漠,在公司几乎没什么朋友,人际关系一般不好。

为了解决难看的色素牙,小琳尝试过美白牙膏、洗牙,但效果都不理想。牙齿问题成了小琳的心头大患,一次偶然的机会,小琳听说广州越秀圣贝口腔门诊部口腔的炫彩美白系统效果很不错,可以有效解决各种色素牙,心动不已,于是就前往医院做了牙齿美白。>>>详情点击预约牙管家
做了炫彩美白牙齿后,小琳难看的色素牙不见了,取而代之的是洁白的牙齿,看着镜子中洁白的牙齿,小琳高兴的说:“我好久都没有这么开心的笑了,今后我可以想笑就笑,再不也用做冷面美人了,一般感谢圣贝。”
圣贝介绍,炫彩美白系统,是运用光谱原理,采用低温蓝光,隔出一切有害的紫外线与红外线,完全避免了操作过程中的不适与刺激、对周围组织的副作用。一次性30分钟的治疗,可使牙齿平均提高5-14个VITA色阶,并使治疗后的牙齿具有自然的光泽。
炫彩美白系统适用于一般外因性色素牙(咖啡、茶渍、烟渍沉积)、中轻度四环素牙、氟斑牙、物性变色牙、遗传性黄牙等。美白效果更明显,护理得当有效可达10年。

上一篇:快速美白牙齿的方法有吗?
下一篇:有了色素牙怎么解决好 ?