
牙齿美白的方法有很多。最常见的方法主要有炫彩美白、贴面美白牙、洁牙美白等。圣贝口腔在这方面一直是行业的佼佼者,炫彩美白和贴面美白备受患者欢迎。
>>>预约检查我的牙齿颜色异常原因
1、炫彩美白
炫彩美白,是一种牙齿美白技术。通过一次性的治疗可以使牙齿平均可提升2-3个色阶 (误区纠正:在一个阶段内只能提升2-3个色阶,多次治疗,色阶并不会累加。对于网上传的提升5-14个色阶是没有事实依据的),并使治疗后的牙齿具有自然的光泽。适用于牙黄、牙黑、四环素牙、氟斑牙等患者。治疗时间35-45分钟。
炫彩美白优势
舒适:低温蓝光,安全避免了操作过程中的不适。
安全:安全使用在牙齿美白上近十年。
持久:时间快、刺激小、 副作用小,美白效果持久。
快捷:仅需35-45分钟,多年来的黄牙,黑牙,灰牙就会明显改善。

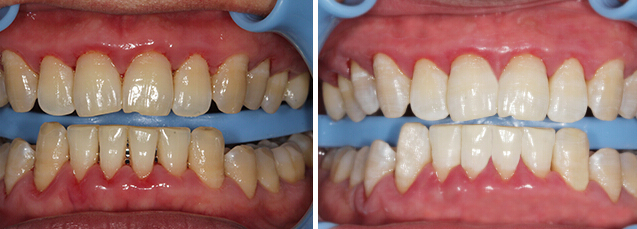
圣贝口腔炫彩美白案例
2、贴面美白
瓷贴面对氟斑牙、轻中度四环素牙、轻微牙齿排列不齐等牙齿问题有着优良的美白效果,并且对患者牙齿损伤最小。
圣贝口腔亲贝瓷贴面优势

(1)安全:磨除牙体组织少。保存大量的牙体组织,不需要杀神经。
(2)美观:仿真效果好。不会出现烤瓷牙常见的牙龈黑线现象。
(3)健康:对牙龈刺激小。瓷贴面具有极好的透光性有利于保护牙龈。
(4)舒适:无口腔异物感。触觉自然、舒适.

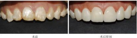
圣贝贴面美白案例
3、洁牙美白
洁牙美白的适应症一般比较局限,对于外源性着色,如轻微的牙菌斑,牙结石等比较有效果。洁牙更多的是清洁的作用,对于美白效果而言,如其他四环素牙,烟渍牙等内源性着色导致的牙齿颜色不佳使用洁牙美白的效果是不明显的。
圣贝牙管家提示您:美丽笑容离不开洁白的牙齿,只有到专业的口腔医院选择最适合自己的牙齿美白方式,才能让牙齿更有效更快速的变白。如果您还有什么疑问,可以随时在线预约,圣贝牙管家将针对您个人的实际状况,竭诚为您一一解答。
上一篇:牙齿发黄怎么办?
下一篇:什么样的牙齿适合做冷光美白