
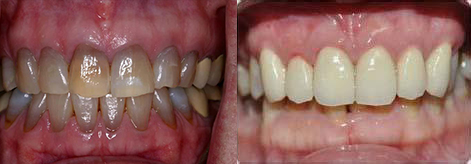
牙齿发黑,是由于长期饮用咖啡、浓茶、红酒之类的深色饮食所致。一口黑牙,不仅影响个人形象,更让自己显得更加自闭,所以许多爱美人士们都选择牙齿美白。但进行牙齿美白,选择一家正规、专业的医院一般关键。那么,黑牙到广州哪家医院美白好?

【如何选择黑牙美白医院?】
一、医院资质:一个正规专业的医院应该有相应的资质,无证医院千万不能选择,否则很容易被坑害,而且也没有保障。广州越秀圣贝口腔门诊部严格遵守卫生部对于口腔准入制度的所有要求,认真贯彻执行ISO9001:2000质量管理体系的核心框架,确保消费者的合法权益。>>>预约牙管家更清楚
二、:牙齿是我们的重要器官,一旦受损会极大危害健康。因此美白牙齿也同样要选择一个经验丰富的。广州越秀圣贝口腔门诊部长年聘请的是拥有多年行医经验的、主治医师以上坐诊,如医师廖惠媚等,保障了手术的有效。【阅读:怎样才是科学的美白牙齿?】
三、美白:一个好的医院应该有多种黑牙美白方法,可以针对不同的黑牙情况采用不同的治疗方法,完美解决患者的困扰。广州越秀圣贝口腔门诊部拥有多种牙齿美白方法,如炫彩美白、5D美容冠、亲贝微贴面等,让您再次拥有完美笑容!>>>哪种黑牙美白方法好?点击预约牙管家
【品牌圣贝 品质信赖!】
广州越秀圣贝口腔门诊部隶属知名牙科医疗连锁品牌“圣贝连锁牙科”旗下,在中国北京、广州、广州、成都等地设有分店,汇集了国内多所知名院校的口腔教授。实现一店看牙、全国联保、终生服务的连锁体系,让患者在不同城市都能充分享受圣贝优牙服务!
上一篇:牙齿发黄到哪里治疗比较好?
下一篇:没有了