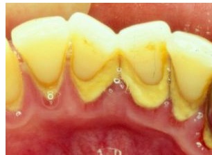
牙结石是一种附着与牙齿上的异物,它的存在会不断刺激牙周组织,造成牙龈及牙周炎症。因此我们平时要注意清理口腔,积极预防牙结石的形成。那么,牙结石该怎么预防呢?

广州越秀圣贝口腔门诊部专家介绍:一般来说,牙结石是要通过专业的洗牙才能有效的去除,因此定期洗牙对于预防牙结石一般重要,但是平时的口腔护理也是避不可免的。>>>咨询牙管家更清楚
牙结石的预防
1、正确刷牙:正确刷牙能有效的预防牙结石,早晚刷牙、饭后漱口是防治牙石形成的重要措施。
2、合理饮食:合理营养,粗细搭配同样能预防牙结石。多吃富有维生素的粗纤维食物,充分咀嚼以利于牙面清洁。>>>详情点击咨询牙管家
3、定期洗牙:定期的洗牙更是能预防牙结石,每半年进行一次洗牙可以使牙面、牙颈部经常处于洁净状态。【阅读:洗牙的误区你知道吗?】
【专家提示】洗牙是预防级清楚牙结石的重要手段,因此一定要定期洗牙。但是在洗牙的时候一定要选择以及正规专业的医院,以保证其效果,避免不必要的危害。在此我们您选择——广州越秀圣贝口腔门诊部。

广州越秀圣贝口腔门诊部是一家全国连锁口腔机构,医生在洗牙上有着熟练的水平与丰富的经验,而且我院采用的是美国高频声呐洁牙仪,只要30分钟就能完成治疗,并且在治疗期间更注重牙周健康,维护口腔健康,并且每日都会对设备器具进行消毒,让洗牙更加无害!
接诊时间:09:00-18:00 节假日不休息
门诊地址:广州市越秀区广州大道中