项目大全
广州越秀圣贝口腔 > 牙齿知识讲堂 >
广州牙齿美白好多钱
来源:未知 | 时间:2019-08-19 | 阅读:
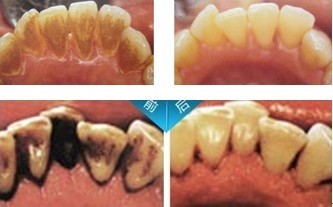
  牙齿不好看既影响个人形象又影响个人交际和生活,危害是很大的,生活中,有些人的牙齿天生就长得比较黄、黑,甚至是氟斑牙和四环素牙的情况,而有些人是因为长期喝茶,色素沉淀,时间一长牙齿就容易发黄,就算经常刷牙,即使是喝茶过后及时刷牙也无济于事。广州牙齿美白多少钱?
  广州卫生职业学院附属口腔医院医生表示,如果是天生的牙齿色素问题,那么则需要用专业的美白方式进行美白,而如果是后天导致的外源性牙齿色素,那么可以先用喷砂洁牙去除表面色素,再考虑是否做美白,因美白的方法不同,牙齿美白多少钱也没有一个固定的价位。
 
  1、牙齿美白的方法:不同的牙齿黑黄情况,美白方法不同,价格也是不一样的。并且美白牙齿的方法有很多,如常见的冷光美白、美白牙贴面、全瓷牙等等,这些牙齿美白的方法都是不同的,有着不同的效果,当然价格也就不一样。
  2、所在地区的物价水平:每个地区牙齿美白的价格都是不一样的,物价水平高的地方,牙齿美白的价格会相对高些,而物价水平低的地方牙齿矫正价格会低些。
 
  3、牙齿情况:牙齿着色的原因也不同,黑牙有内源性着色和外源性着色等不同的情况,所以在治疗的时候就要根据每个求美者的牙齿综合情况来选择适合的治疗方式。
  【温馨提示】要美牙就来圣贝口腔。圣贝口腔医院是您牙齿的梦想加工厂,强大的医生阵容是您的信心来源,高端专业技术是您的安全保障,为美丽而战,圣贝专注于您的每一颗牙齿,专业为您提供个性化口腔美学高级定制服务,美一颗,美一生,伴您健康一生。

上一篇:广州牙齿黄怎么美白
下一篇:广州超声波洁牙多少钱