因为 牙周炎、牙外伤、牙拔除 等原因,导致了患者的牙齿缺失,给患者带来了 咀嚼功能退化、发音不准确、影响颌面部美观 的问题。现在种植牙因为 美观、功能强 的优势受到了患者
广州圣贝牙科专家介绍:门牙缺失使用种植牙。种植牙是目前理想的牙齿修复方法,于邻牙没有损伤,修复的牙齿宛如真牙,打破了传统假牙修复的弊端,是好的牙齿修复方法。
数据显示:人们对牙齿健康关注减少,我国目前有1.3亿60岁以上的老年人,缺牙患病率在90%以上,有的长期处于缺牙甚至无牙态。因此,种植牙成为了缺牙中老年朋友的必备选择,那么
广州圣贝口腔专家指出:目前理想的修复方式是种植牙,宛如真牙新生,被誉为“人类的第三副牙齿”,因此我们选择种植牙修复牙齿缺失。
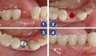
对于缺失的牙, 目前较好的方法是种植牙修复。什么是种植牙?种植牙指的是一种以植入骨组织内的下部结构为基础,固位上部牙修复体的缺牙修复方式,它包括 下部的支持种植体 和 上