
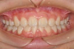
虽然平时大大咧咧,和同学们有说有笑,但心里也是在意别人对我的指指点点。当初那个给我起“豹牙妹”的小子,被我抓到狠狠打了一顿,不过也在那一战中,我“豹牙妹”的名号却也是传开了。我跑的比较快,虎牙有比较突出,被他们叫“豹牙妹”叫习惯了,我不禁都有点认同了,可笑。
我不是很喜欢学习(其实根本不喜欢学习),打算高中毕业就工作,毕竟去了大学也是虚度,还不能想花钱就花钱。于是和父母商量,不过在毕业前我想先矫正牙齿,我可不想到时候再被同事取笑。至于去哪矫正,直接问表姐就好,表姐说当初去的圣贝口腔,有个叫熊飞的给她矫正的。
我让表姐给我预约,然后拉她一起去了圣贝口腔,找到了熊飞,开始了一步一步的检查、拍片、取模、制定矫正方案。在矫正手术之前,一向大大咧咧的我,也感到一丝的紧张,熊飞估计是看出来了,开始了他的安慰。
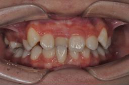
还别说,熊飞手术还挺快的,先是粘上托槽,大概用了一个多小时吧,然后开始上弓丝,用弓丝在我嘴里对比了几次,就开始装了。
刚戴上牙套还真别扭,不过慢慢也就习惯了。有点遗憾的是,在我毕业之前没有完成矫正,毕业照上没留下我灿烂的笑容。不过也还好,毕业一个月后摘下了牙套,我也找到了满意的工作,从此“豹牙妹”算是消失了。
发布时间:2018-10-29
发布人员:广州圣贝口腔_圣贝牙科
上一篇:给牙齿一次“重生”的机会
下一篇:拔完牙就万事大吉了?No No No








