项目大全
广州越秀圣贝口腔 > 牙齿知识讲堂 >
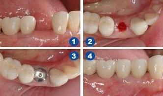
广州植牙一颗多少钱,干货分享
来源:未知 | 时间:2019-07-31 | 阅读:
  种植牙的价格众说纷纭,而且因人、因地而异,那么一般到底详细有没有一个参考呢,医生表示,目前没有统一的种植牙价格表,因为影响种植牙价格的因素比较多,而且差异比较明显,只有根据具体情况才能制定出合适的种植方案。下面就请广州圣贝口腔医生来讲解一下植牙一颗多少钱?
  植牙一颗多少钱
 
  一颗种植牙的价格一般在上万元左右,如果要求贵一点的,经济条件适合,也有两三万元左右的。
 
  种植牙一颗也需要保持口腔无炎症、无牙结石等,需要需要洗牙,蛀牙补牙,以及牙周炎治疗少则需要几百元,多则需要几千元的样子。
 
  种植牙一颗的价格还和不同地方有关系,比如说深圳的种植牙价格和香港种植牙,以及和内陆地区的城市相比,价格肯定要贵一些的。
 
  种植一颗牙的价格还和采用即刻种植牙还是延期种植牙的技术有关系,而且是否需要拔牙后做种植牙,这价格自然是不同的。
  广州牙科医生表示,种植牙的价格不是固定统一的,因此,建议大家能够先到医院检查一下牙齿缺失情况,比如是前牙还是后牙,以及牙槽骨骨量是否足够,以便于医生制定合适的种植牙方案,得到比较理想的种植牙结果。

发布时间:2019-07-31

发布人员:广州圣贝口腔_圣贝牙科

本文地址:wap.gzsbyk.com/html/wzyh/4557.html

上一篇:广州龅牙矫正价格
下一篇:广州种牙需要多少钱

全国连锁 星级服务