项目大全
广州越秀圣贝口腔 > 牙齿知识讲堂 >
广州种植牙一颗要多少钱?
来源:未知 | 时间:2019-08-07 | 阅读:
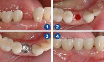
  无论是因为什么原因导致的牙齿缺失都需要做种植牙修复,只有这样才能保证口腔健康和牙齿的美观性,而种植牙因为其良好的修复效果受到大家的欢迎,不过对于种植牙的价格还是大家比较关心的一个问题,那么广州圣贝做种植牙一颗要多少钱?
  简单来说,品牌是影响种植牙价格的因素。因为不同品牌制作工艺以及材料不同,因此价格也与差异。
 
  与传统修复技术相比,人工种植牙的设备投入大也是人工种植牙的价格高的一个原因,除了昂贵的人工种植牙系统,还需要引进先进的设备。
 
  人工种植牙手术对于医生的要求是相当高的,只有经验丰富、经过长期专业培训的医生才能胜任人工种植牙手术。
 
  【种植牙的寿命长吗
 
  1、种植系统影响种植牙寿命,种植牙医院有很多,但是其采用的种植牙系统却并不相同,越先进的种植牙系统,成功率越高,种植牙的寿命也就越长。
 
  2、患者对种植牙的术后使用和维护情况,术后对种植牙的保养和清洁能够大大延长种植牙的使用寿命,因此您在种植牙医院做完种植牙手术后,一定要按时做有效的口腔清洁,并定期到医院进行复查。
  关于“广州圣贝做种植牙一颗要多少钱”的问题就解答到这,如果你的牙齿出现什么问题,可以通过网上预约挂号可享受免挂号费、全口检查费、到院无需排队优先就诊服务。
 
  

发布时间:2019-08-07

发布人员:广州圣贝口腔_圣贝牙科

本文地址:wap.gzsbyk.com/html/wzyh/4590.html

上一篇:广州种一颗牙要多少钱?
下一篇:广州拔智齿多少钱?

全国连锁 星级服务