
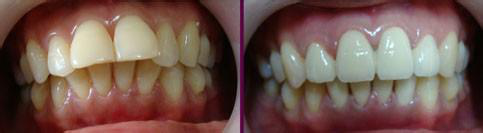
龅牙是先天遗传和后天发育成的牙齿畸形,有牙源性和骨性龅牙之分,危害口腔健康发育和面部美观。

【矫正龅牙的方法】
普通托槽矫正:适用于青少年,矫正效果较好应用广;但是美观、舒适度较差,不易清洁,有异物感。
隐形无托槽矫正:适用于成年患者,无钢丝托槽,美观、舒适、清洁方便,可自行摘戴,不影响社交和正常生活等。
正颌外科手术:发育完成后的骨性龅牙,需通过正畸科与口腔颌面医师合作,达到咬合关系及颌骨畸形都得到的矫正效果。
【温馨提示】通过口腔检查后,才能制定矫正方案。
现在通过【在线预约】可享检查套餐优惠,也可拨打热线电话:020-87320999预约相关详情。
发布时间:2019-07-03
发布人员:广州圣贝口腔_圣贝牙科
上一篇:牙齿矫正年龄限制
下一篇:不戴牙套矫正牙齿的方法








