广州圣贝牙科引进的炫彩美白系统,能够达到深层褪色的效果,可以有效解决牙齿发黄问题,并且对人无害。只需30分钟,可使牙齿平均提高5-14个VITA色阶。
广州圣贝牙科隶属世界百强知名牙科医疗连锁品牌“圣贝牙科”旗下,拥有专业的医生以及多种牙齿美白方法,快速解决黑牙问题,让您拥有一口炫白牙齿。
广州圣贝口腔专家介绍:冷光美白的费用一般在几千元左右,但是不同的患者需要的治疗方案不同,因此价格会有一定差异,需要患者到医院检查并确定具体的治疗方案后才能给出具体的数值
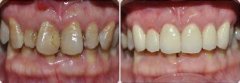
圣贝口腔牙管家介绍,全瓷牙是目前受瞩目的牙齿修复方式,全瓷牙不仅有着可媲美真牙的色泽,还有着超高的耐压力度和生物相容性,所以很受欢迎和青睐,影响全瓷牙多少钱的因素
牙齿发黄发黑要根据牙齿着色情况选择适合自己的美白方法,广州圣贝牙科医院采用的-炫彩美白,可以有效解决导致牙齿着色问题,美白牙齿快速。