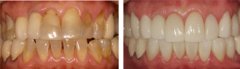
"广州圣贝口腔采用炫彩美白,可以有效解决多种牙齿着色问题,美白牙齿只需30分钟左右,可使牙齿平均提高5-14个VITA色阶,对人体无害,更优于普通牙齿美白方式。 "
广州圣贝口腔专家表示:要使牙齿长期处在美白状态,需要我们每天认真护理牙齿,并要定期到医院检查、洁牙。
广州圣贝牙科医院采用的炫彩美白系统,是目前上先进的牙美白之一,适用于多种色素牙,并且避免了操作过程中的不适与刺激,只需30分钟左右即可拥有一口洁白健康的牙齿。
广州圣贝引进的炫彩美白,只需30分钟的治疗,可使牙齿平均提高5-14个VITA色阶,并使治疗后的牙齿具有自然,美白牙齿更加快速。
广州圣贝牙科采用的炫彩美白系统适用于多种色素牙,低温蓝光,美白牙齿只需30分钟,更佳快速有效,护理得当有效可达10年。