生活中,因为不同原因造成牙齿发黄的人不在少数,出现这种情况,一方面影响美观,影响个人形象,另一方面也会影响牙齿健康。那么牙齿发黄怎么办呢? 广州圣贝牙科专家表示
生活中,因为不同原因造成牙齿发黄的人不在少数,出现这种情况,一方面影响美观,影响个人形象,另一方面也会影响牙齿健康。那么牙齿发黄怎么办呢? 【炫彩美白特惠】 广州圣贝
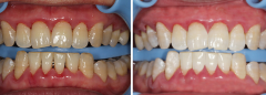
牙齿美白的方法有很多。最常见的方法主要有炫彩美白、贴面美白牙、洁牙美白等。圣贝口腔在这方面一直是行业的佼佼者,炫彩美白和贴面美白备受患者欢迎。 预约检查我的牙齿颜色
冷光美白是目前流行的牙齿美白方法,它不仅可以去除牙齿表面的色素沉积,同时可进入牙齿深层达到脱色的效果。冷光美白的效果较好,适用范围广,但也有一定的限制。那么,什么
广州圣贝牙科专家表示:小孩出现牙齿发黄、发黑等情况,极有可能是四环素牙或氟斑牙,家长们应该及时带还在到正规专业的医院检查治疗。